mucósa

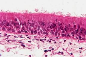
sf. [sec. XIX; da mucoso]. Membrana di rivestimento della superficie interna di organi cavi e di canali dell'organismo comunicanti con l'esterno direttamente o indirettamente quali, per esempio, le vie respiratorie, il tubo gastrointestinale, le vie urinarie, l'apparato genitale, l'orecchio medio, ecc. In corrispondenza delle aperture naturali verso l'esterno (bocca, narici, vagina, orificio uretrale, ecc.) la mucosa si continua con la epidermide, mediante una porzione di transizione caratterizzata da una struttura intermedia fra mucosa e cute "I disegni schematici della mucosa di alcuni organi è a pag. 251 del 15° volume. " . La mucosa è formata da un tessuto delicato, elastico, dal colorito grigio-roseo, mantenuto sempre umido dal secreto di ghiandole contenute nel suo spessore o direttamente prodotto dall'epitelio ghiandolare che la costituisce. Pur con certe differenze proprie dei singoli apparati, le mucose sono essenzialmente costituite da un epitelio che tappezza la cavità dell'organo o il lume del canale e, più profondamente, da uno strato di tessuto connettivale fibrillare (tonaca propria o derma della mucosa), che ha funzioni di sostegno e può essere ricco di fibre elastiche e di linfociti. La superficie di contatto tra epitelio e connettivo può a volte esser piana, a volte invece accidentata per la presenza di papille nella tonaca che penetrano nell'epitelio stesso. "Per i disegni schematici della mucosa di alcuni organi vedi il lemma del 13° volume."

Trovi questo termine anche in:

Quiz

Mettiti alla prova!

Testa la tua conoscenza e quella dei tuoi amici.

Fai il quiz ora