broncografìa
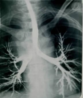
sf. [bronco (anatomia)+-grafia]. Metodo di indagine radiografica che permette di ottenere immagini molto precise dell' albero bronchiale (broncogramma) mediante l'introduzione in esso di un mezzo di contrasto liquido radiopaco . A tale proposito si usano sondini molto sottili che vengono fatti pervenire nei bronchi per via nasale e sotto anestesia locale. Una volta iniettato il mezzo di contrasto, le radiografie mostrano chiaramente l'anatomia e la fisiologia (modificazioni del calibro con l'attività respiratoria o sotto i colpi di tosse) delle vie bronchiali. Le principali indicazioni della broncografia sono l'accertamento dell'eventuale esistenza di malformazioni congenite dei bronchi e la diagnosi di bronchiettasie. È inoltre possibile precisare l'estensione e la gravità della bronchite cronica.
Broncografia di albero bronchiale alterato da bronchiettasia (le diramazioni bronchiali intrapolmonari appaiono dilatate).
De Agostini Picture Library